ラジオ波手術(RF手術)とは
低侵襲手術における4.0MHz高周波ラジオ波メス(RFナイフ)の有用性
●切る意味が進化すること
手術を受ける患者さんにとって、手術の結果や手術後の生活、また生命にかかわる問題などの不安はいろいろあります。手術そのものに対しても、「痛い?」「腫れる?」「傷が残る?」など、心配は尽きません。手術が終わり、手術などな かったが如く日常生活を送り、以前にも増して充実した日々を過ごすことができれば何とすばらしいことでしょう。できる限り手術侵襲を軽減し、患者さんの負担を和らげてQOLを向上することは、外科医療に向き合う人々の喜びです。
現在、オペ室や外来治療室などの医療現場で使用される手術機器は多種多様ありますが、皮膚切開には金属メスを使用し、電気メスはタブーとされてきた一方で、機器の特性によってその結果に与える影響を考慮する事もあまりないのが実状です。しかし、実際の手術では、病気の診断や治療方針を決定するまでの時間は別として、いったん執刀が開始されると、切開したり止血したりする場面にかなりの時間を費やしている事もしばしばです。このような視点から、切開・切除・凝固や止血のテクニック、さらには縫合の方法が「痛まない」「腫れない」「傷が綺麗になる」という低侵襲手術に不可欠な要素となり、手術機器の選択にもそれなりの検討が必要になります。皮膚切開は絶対に金属メスでなければならないのか?同じ電気メスでも 種類によって、切開力や組織損傷に違いがあるのは何故なのか?レーザーの低侵襲性は本当なのか? 日本臨床ラジオ波手術研究会(現:日本RF手術研究会)では、〝切る意味が 進化すること〟をメインテーマに、このような疑問を解き明かすために、4.0MHzの高周波ラジオ波特性に着目しました。
![]() | ![]() |
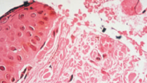
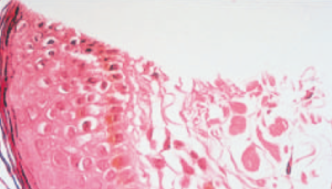
| 金属メスによる挫滅した切開創 | RFナイフによる滑らかな切開創 |
●微細性と低侵襲性:高周波電流と周波数
電気メスは、高周波電流を生体組織に流して切開や凝固を行う電気手術器です。高周波電流は周波数が高くなるにつれて性質が変化し、2MHzを超えるあたりでは電流から電波に大きく変化します。このため手術機器の特性も周波数の大きさによって異なります。一般的な電気メスの周波数は、500kHz~1MHzあたりですから、高周波電流の電流的性質を強くもつエレクトロサージェリーの領域にあり、電気を流す力で切ったり、止血したりします。
一方、1MHzを越えて2MHzあたりになると高周波でも特にラジオ波となり、電波的性質を強く持ちはじめて高周波ラジオ波メスによるラジオサージェリーの領域となります。高周波ラジオ波メスでは、組織細胞中の水分子に対する高密度な集中性により、過剰な発熱や熱変成を抑えて炭化による組織損傷を最小限におさえることが可能です。低い周波数の高周波電流(粗い波)の高周波メスや電気メスに比べると、より高い周波数の高周波(細かい波)を特殊な方法で整流している高周波ラジオ波メスは、組織に対してより小さい抵抗で作用し微細性に優れた切開を可能にします。
さらに、レーザーがその強力な破壊エネルギーで生体組織に作用するのに対して、高周波ラジオ波のエネルギーは細胞単位で、かつ、水分子にのみ作用し、白く煮えるような凝固を可能にします。たとえば、CO2レーザーを紙などの無機質な物質に照射すると焦げて穴があきますが、高周波ラジオ波は水分を含まない組織には作用しないため、熱を発生させることもなく、もちろん焦げることもありません。
このように高周波ラジオ波における微細性と低侵襲性により高周波ラジオ波手術は確立され、皮膚科・形成外科・耳鼻咽喉科・産婦人科・外科・整形外科・脳神経外科などの外科的治療に幅広く応用されています。



